Kiến thức nha khoa

Phương pháp trồng răng cửa là gì và chi phí có cao không?

  • Thứ năm, Ngày 25/07/2024
  • Răng cửa không chỉ đóng vai trò quan trọng trong việc cắn xé thức ăn mà còn tạo nên vẻ đẹp của nụ cười và khuôn mặt. Mất răng cửa không chỉ ảnh hưởng đến chức năng nhai mà còn gây ra tự ti trong giao tiếp hàng ngày. Trồng răng cửa là giải pháp hiệu quả để khắc phục tình trạng này, giúp khôi phục lại chức năng và thẩm mỹ cho hàm răng. Tuy nhiên, nhiều người vẫn còn băn khoăn về quy trình và chi phí trồng răng cửa. Trong bài viết này của Nha Khoa Asia, chúng ta sẽ cùng tìm hiểu chi tiết về trồng răng cửa là gì và giá trồng răng cửa là bao nhiêu.

    Tại sao phải trồng răng cửa? 

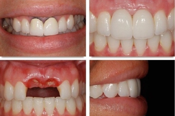
    Phương pháp trồng răng cửa là gì và chi phí có cao không?
    Ảnh: Phương pháp trồng răng cửa là gì và chi phí có cao không? (Nguồn: Nhakhoaasia.com)
    • Khôi phục chức năng ăn nhai: Răng cửa đóng vai trò quan trọng trong việc cắt và xé thức ăn. Trồng răng cửa giúp bạn ăn uống dễ dàng và thoải mái hơn.
    • Cải thiện thẩm mỹ: Răng cửa là trung tâm của khuôn mặt, vì vậy một chiếc răng cửa mất hoặc bị hư hỏng sẽ ảnh hưởng rất lớn đến vẻ đẹp của nụ cười. Trồng răng cửa giúp bạn có một hàm răng đều đẹp, tự nhiên.
    • Ngăn ngừa các vấn đề răng miệng khác: Mất răng cửa có thể gây ra nhiều vấn đề răng miệng khác như tiêu xương hàm, các răng bên cạnh xô lệch, ảnh hưởng đến khớp thái dương hàm...

    Trồng răng cửa là phương pháp gì?

    Răng cửa đóng vai trò rất quan trọng trong một hàm răng, chính vì vậy mà việc mất răng cửa ảnh hưởng rất lớn đến chức năng ăn nhai của mọi người. Có rất nhiều nguyên nhân khiến cho một người bị mất răng cửa và chủ yếu là do tuổi tác hoặc các tai nạn không đáng có. Việc mất răng cửa tạo ra một khoảng trống rất lớn ở vị trí chân răng đã mất. Nếu như không thể phục hình răng một cách kịp thời thì bạn sẽ dễ dàng gặp phải những trường hợp nguy hiểm như sau:

    • Ảnh hưởng đến vấn đề ăn nhai vì răng cửa đóng vai trò rất quan trọng trong chức năng này.
    • Nếu không có lực tác động thì xương hàm ở vị trí này có nguy cơ nhanh chóng tiêu biến.
    • Ảnh hưởng đến mặt thẩm mỹ, gây nguy cơ mất nụ cười tự tin và làm tăng quá trình lão hóa, hóp mặt, da chảy xệ,...

    Chính vì vậy mà để cải thiện vấn đề mất răng, phương pháp trồng răng cửa được ra đời và được nhiều người đón nhận. Vậy có những phương pháp nào để bổ sung răng cửa? Mời bạn tham khảo những phương pháp trồng răng được nhiều người áp dụng nhất hiện nay ngay phần tiếp theo của bài viết.

    Những phương pháp trồng răng cửa phổ biến nhất hiện nay 

    Sự phát triển của các loại hình thẩm mỹ và phục hình răng đem đến ngày càng nhiều những phương pháp trồng răng cửa khác nhau và mỗi phương pháp sẽ có ưu, nhược điểm riêng. Bạn hãy tìm hiểu ngay các phương pháp can thiệp cấy ghép răng cửa phổ biến nhất hiện nay ngay dưới đây!

    Phương pháp bắc cầu sứ để ghép răng cửa 

    Phương pháp bắt cầu sứ để ghép răng cửa
    Ảnh: Phương pháp bắc cầu sứ để ghép răng cửa (Nguồn: Nhakhoaasia.com)

    Nếu như nói đến kỹ thuật phục hình răng cửa phổ biến và được nhiều người áp dụng nhất hiện nay thì không thể không kể đến phương pháp bắc cầu sứ. Đối với phương pháp này thì nó phù hợp với những trường hợp mà bạn mất 1 hoặc vài răng ở vị trí liền kề nhau.

    Để lắp đặt răng sứ theo kiểu bắt cầu thì bác sĩ sẽ mài 2 chiếc răng để đóng vai trò làm cầu răng, sau đó bọc sứ những chiếc răng liên tiếp lại để phục hồi chức năng nhai của răng cửa. Với phương pháp bắc cầu răng sứ, nó có ưu điểm là chắc chắn, phổ biến, chi phí ổn định.

    Tuy nhiên, có một điểm mà bạn cần lưu ý đó chính là bạn phải mài 2 chiếc răng thật và cũng không thể ngăn chặn được việc tiêu hàm vì răng sứ bắt cầu chỉ có tác động ở mặt ngoài chứ không có chân răng thật và về lâu dài, xương hàm và nướu của bạn sẽ bị tiêu.

    Trồng răng cửa bằng việc ghép hàm tháo lắp 

    Trồng răng cửa bằng việc ghép hàm tháo lắp
    Ảnh: Trồng răng cửa bằng việc ghép hàm tháo lắp (Nguồn: Nhakhoaasia.com)

    Để phục hồi chức năng cho răng cửa thì nhiều người sử dụng hàm tháo lắp. Hàm tháo lắp này có nguyên liệu chủ yếu pha trộn từ nhựa Acrylic cùng với một số hợp chất kim loại. Phần thân răng của loại hàm này sẽ được chế tạo từ sứ hoặc nhựa để thay thế cho răng đã mất.

    Phương pháp này có thể hạn chế được việc hóp má khi mất răng và ngăn chặn được tình trạng xuất hiện nếp nhăn. Đối với hàm giả thì ưu điểm là dễ tháo lắp để vệ sinh, tuy nhiên nó cũng giống việc lắp sứ là không thể hạn chế được quá trình tiêu xương, hạn chế khả năng ăn nhai thức ăn và thậm chí là đôi khi còn gây khó chịu cho người sử dụng.

    Trồng răng cửa bằng việc gắn Implant 

    Trồng răng cửa bằng việc gắn Implant
    Ảnh: Trồng răng cửa bằng việc gắn Implant (Nguồn: Nhakhoaasia.com)

    Cấy Implant là phương pháp có thể áp dụng với tất cả các trường hợp mất răng, kể cả là mất răng cửa và có thể khẳng định nó là phương pháp can thiệp hiện đại nhất hiện nay. Để trồng răng cửa bằng việc cấy Implant, bác sĩ sẽ thực hiện cấy trụ Implant vào vị trí mất răng của bạn, trụ này sẽ đóng vai trò như 1 chân răng thật sự và hoàn toàn tương thích với xương hàm.

    Phương pháp này cũng đảm bảo cho bạn việc không cần phải mài răng. Sau khoảng thời gian từ 3 - 6 tháng tùy vào cơ địa của mỗi người, trụ Implant sẽ tương thích hoàn toàn với hàm và lúc này, bác sĩ sẽ thực hiện lắp răng sứ cho bạn. Răng cửa được làm từ Implant hoàn toàn an toàn, lành tính và nó đóng vai trò như răng thật, bạn cũng không cần phải lo lắng đến trường hợp bị tiêu xương hàm nữa.

    Thời gian trồng và giá trồng răng cửa là bao nhiêu?

    Thời gian để thực hiện trồng răng cửa là bao lâu?

    Rất nhiều người dành sự quan tâm cho thời gian cũng như chi phí trồng 2 răng cửa. Đương nhiên về mặt thời gian thì nó sẽ khác nhau tùy vào phương pháp trồng mà bạn lựa chọn. Bắc cầu răng sứ hay dùng hàm tháo lắp sẽ nhanh hơn so với gắn trụ Implant rất nhiều. Với việc bắc cầu răng sứ, chỉ cần 2 - 3 lần tới nha khoa và bạn cũng chỉ mất khoảng 1 - 2 tuần để thực hiện. Còn cấy ghép Implant thì đương nhiên thời gian sẽ kéo dài từ 3 - 6 tháng.

    Giá trồng răng cửa là bao nhiêu? 

    Giá trồng răng cửa là bao nhiêu tiền?
    Ảnh: Giá trồng răng cửa là bao nhiêu tiền? (Nguồn: Nhakhoaasia.com)

    Giá trồng răng cửa cũng được rất nhiều người quan tâm, nhiều người đặt câu hỏi về việc giá trồng răng cửa 1 cái bao nhiêu và trồng 2 răng cửa giá bao nhiêu? Thực tế thì như đã nói ở trên, việc cấy ghép răng cửa này có rất nhiều phương pháp khác nhau và mỗi phương pháp cũng sẽ có chi phí, mức giá khác nhau. Đương nhiên việc bắc cầu răng sứ hay dùng hàm tháo lắp cũng sẽ rẻ hơn rất nhiều so với cấy ghép Implant.

    • Chi phí làm răng giả tháo lắp rất rẻ và chỉ dao động từ 500.000 - 1.000.000 VNĐ cho mỗi răng.
    • Bắc cầu răng sứ để thay thế răng cửa đã mất có mức giá từ 1.000.000 - 10.000.000 VNĐ cho mỗi răng, trồng 2 răng cửa giá bao nhiêu còn tùy thuộc vào nha khoa và bạn có thể sẽ được chiết khấu nếu như làm 2 răng.
    • Trồng răng cửa bằng phương pháp cấy ghép Implant: Với phương pháp đòi hỏi kỹ thuật chuyên môn cao thì đương nhiên giá thành cũng lớn hơn so với thông thường. Mức giá của dịch vụ này là từ 16.000.000 - 40.000.000 VNĐ cho mỗi chiếc răng cửa bị mất.

    Mức giá bao nhiêu phần lớn còn phụ thuộc vào loại răng bạn làm cũng như là tình trạng răng miệng của bạn. Vì vậy mà để có được mức giá chính xác nhất cho mình, bạn hãy liên hệ ngay nha khoa uy tín như NHA KHOA ASIA để được đặt lịch thăm khám sớm nhất.

    Kết luận

    Trồng răng cửa luôn là vấn đề được nhiều người dành sự quan tâm đặc biệt, nhất là những người bị mất răng. Chính vì vậy mà bài viết này đã giải đáp cho bạn chi tiết nhất về dịch vụ này cùng với các phương pháp và mức giá dao động đối với từng loại răng. Để tìm được cho mình phương pháp làm răng cửa mới tốt nhất, bạn hãy liên hệ nha khoa để được thăm khám và tư vấn phương pháp phù hợp với bản thân bạn. 

    Đọc thêm:

    Nguồn: Phòng Marketing

    Đánh giá bình luận
    Bài viết liên quan

    Tư vấn cùng bác sĩ

    Một cuộc hẹn tại Nha Khoa Asia sẽ giải quyết được nhu cầu của Quý khách
    Đặt lịch thăm khám cùng chuyên gia