Kiến thức nha khoa

Lấy cao răng bao nhiêu tiền? Chi phí thực hiện 2024

  • Thứ bảy, Ngày 06/07/2024
  • Lấy cao răng bao nhiêu tiền? Đây là câu hỏi rất hay gặp đối với những người đang tìm hiểu về việc vệ sinh răng miệng và quan tâm đến nha khoa. Nó không còn xa lạ gì trong cuộc sống hiện nay nhưng lại luôn luôn nhận được sự quan tâm của nhiều người bởi chi phí lấy cao răng ở các phòng khám nha khoa có chút khác biệt. 

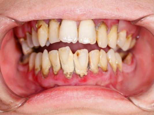
    Vôi răng hình thành do đâu?

    Vôi răng hay cao răng, là các mảng bám được hình thành từ các vụn thức ăn lâu ngày còn sót lại và bị vôi hóa, trở nên cứng chắc và bám chặt quanh thân răng. Lúc này, bạn không thể loại bỏ các mảng bám này bằng phương pháp chải răng thông thường, mà phải nhờ đến sự can thiệp của nha sĩ.

    Vôi răng hình thành do đâu? Vôi răng hình thành do đâu?

    Tại sao phải lấy cao răng?

    Lấy cao răng là thủ thuật nha khoa đơn giản và nhanh chóng, chỉ với thời gian khoảng từ 30 – 60 phút, bác sĩ đã loại bỏ được hết các mảng bám cứng đầu ra khỏi hàm răng của bạn. Đặc biệt, chi phí cho dịch vụ lấy cao răng tương đối thấp và phù hợp với hầu hết mọi người.

    Tại sao phải lấy cao răng? Tại sao phải lấy cao răng?

    Việc vệ sinh răng miệng bằng bàn chải và kem đánh răng chỉ giúp làm sạch khoang miệng chứ không làm sạch được các mảng bám cứng đầu trong hàm răng của bạn. Các mảng bám cao răng này sẽ ở tích tụ, bám chắc và không được loại bỏ hoàn toàn ra khỏi khoang miệng. Ngoài ra, lấy cao răng sẽ giúp ngăn ngừa được nguy cơ mắc các bệnh lý răng miệng như: Sâu răng, viêm lợi, viêm tủy răng,...

    Loại bỏ các mảng bám cứng đầu trên bề mặt răng và chân răng Loại bỏ các mảng bám cứng đầu trên bề mặt răng và chân răng

    Lợi ích khi cạo vôi định kỳ

    Cạo vôi răng là một trong những thủ tục nha khoa quan trọng giúp duy trì sức khỏe răng miệng. Dưới đây là một số lợi ích của việc cạo vôi định kỳ:
    • Ngăn ngừa các bệnh lý về nướu: Vôi răng là nguyên nhân chính gây ra viêm nướu và các bệnh lý về nướu như viêm lợi và viêm nha chu. Cạo vôi răng giúp loại bỏ mảng bám và vôi răng tích tụ, ngăn ngừa viêm nhiễm và duy trì sức khỏe nướu.
    • Giảm nguy cơ sâu răng: Mảng bám và vôi răng là môi trường lý tưởng cho vi khuẩn phát triển, gây sâu răng. Bằng cách cạo vôi định kỳ, bạn có thể loại bỏ môi trường này, giúp giảm nguy cơ sâu răng và các vấn đề liên quan đến răng.
    • Cải thiện hơi thở: Vôi răng tích tụ là một trong những nguyên nhân chính gây hôi miệng. Việc cạo vôi răng giúp loại bỏ vi khuẩn và mảng bám gây mùi, cải thiện hơi thở và giữ cho miệng luôn tươi mát.
    • Bảo vệ sức khỏe toàn thân: Nhiều nghiên cứu đã chỉ ra rằng sức khỏe răng miệng có liên quan mật thiết đến sức khỏe toàn thân. Việc duy trì răng miệng sạch sẽ và không có vôi răng giúp giảm nguy cơ mắc các bệnh lý như bệnh tim mạch, tiểu đường và các bệnh viêm nhiễm khác.
    • Duy trì nụ cười đẹp: Mảng bám và vôi răng có thể gây ố vàng và làm giảm tính thẩm mỹ của răng. Cạo vôi răng giúp loại bỏ những vết ố vàng này, duy trì nụ cười trắng sáng và tự tin hơn.
    • Phát hiện sớm các vấn đề nha khoa: Khi thực hiện cạo vôi định kỳ, nha sĩ sẽ có cơ hội kiểm tra toàn diện răng miệng của bạn và phát hiện sớm các vấn đề như sâu răng, nứt răng, hay các dấu hiệu của bệnh nướu. Điều này giúp bạn điều trị kịp thời và ngăn ngừa các biến chứng nghiêm trọng.
    • Tiết kiệm chi phí điều trị: Việc cạo vôi định kỳ giúp ngăn ngừa các bệnh lý răng miệng, từ đó giảm thiểu nhu cầu điều trị phức tạp và tốn kém sau này. Đầu tư vào việc cạo vôi thường xuyên sẽ giúp bạn tiết kiệm chi phí điều trị nha khoa lâu dài.
    • Cải thiện chức năng nhai: Vôi răng có thể làm cho răng trở nên yếu đi, gây khó khăn trong việc ăn nhai. Bằng cách cạo vôi định kỳ, bạn có thể giữ cho răng chắc khỏe và đảm bảo chức năng nhai được duy trì hiệu quả.

    Lợi ích khi cạo vôi định kỳ Lợi ích khi cạo vôi định kỳ

    Không lấy cao răng có sao không?

    Cao răng hình thành từ các vụn thức ăn, là nơi trú ngụ của nhiều loại vi khuẩn có hại cho răng miệng. Do vậy, nếu không lấy vôi răng định kỳ, có thể dẫn đến các tác hại nguy hiểm sau đây:
    • Màu sắc của vôi răng sậm màu hơn so với răng thật, chính vì vậy, vôi răng tích tụ nhiều sẽ gây mất thẩm mỹ cho nụ cười của bạn.
    • Các vi khuẩn tích tụ trên mảng bám vôi răng sẽ làm đường trong thức ăn lên men, tạo thành axit gây mòn men răng, dẫn đến sâu răng.
    • Vôi răng tích tụ thời gian dài sẽ gây viêm lợi, chảy máu chân răng và khiến cho hơi thở có mùi hôi khó chịu. Vôi răng bám chặt vào phần chân răng, nếu không điều trị kịp thời sẽ dẫn đến tụt lợi, lợi có mủ, răng lung lay,... thậm chí mất răng.
    • Ngoài ra các vi khuẩn trên cao răng còn là nguyên nhân của các bệnh nguy hiểm như viêm tủy ngược dòng, viêm kẽ chân răng, các bệnh ở niêm mạc miệng: viêm niêm mạc miệng, lở miệng,...

    Không lấy cao răng có sao không? Không lấy cao răng có sao không?

    Lấy cao răng bao nhiêu tiền? Chi tiết bảng giá

    Dịch vụ trẻ em

    Cạo vôi răng và Điều trị nướu Đơn vị Giá (VNĐ)
    Đánh bóng răng 1 Ca 50.000
    Cạo vôi răng 1 Ca 80.000 – 200.000
    Điều trị viêm nướu cấp độ 1 1 Ca 700.000
    Điều trị viêm nướu cấp độ 2 1 Ca 900.000
     

    Dịch vụ người lớn

    Cạo vôi răng và Điều trị nướu Đơn vị Giá (VNĐ)
    Đánh bóng răng 1 Ca 200.000 – 400.000
    Cạo vôi răng 1 Ca 200.000 – 400.000
    Điều trị viêm nướu cấp độ 1 1 Ca 650.000
    Điều trị viêm nướu cấp độ 2 1 Ca 850.000

    Những yếu tố ảnh hưởng đến giá lấy vôi răng

    Lấy cao răng bao nhiêu tiền vẫn luôn là vấn đề chung mà mọi người khi có nhu cầu sử dụng dịch vụ luôn quan tâm đến. Thế nhưng, sẽ khó có một mức giá cụ thể về dịch vụ này. Bởi chi phí lấy cao răng sẽ phụ thuộc vào nhiều yếu tố khác nhau như:

    Mức độ nặng nhẹ của răng miệng

    Với những hàm răng có ít cao răng dĩ nhiên sẽ có chi phí rẻ hơn so với tình trạng cao răng bám nhiều. Thêm nữa, một số trường hợp mắc các bệnh liên quan đến răng miệng và có cao răng. Bạn sẽ cần phải mất thêm chi phí điều trị răng chắc khỏe trước và lấy cao răng sau để đạt hiệu quả tốt, an toàn.

    Bạn đã biết lấy vôi răng bao nhiêu tiền? Bạn đã biết lấy vôi răng bao nhiêu tiền?

    Cơ sở nha khoa

    Với mỗi đơn vị nha khoa sẽ có những bảng giá lấy cao răng khác nhau. Lựa chọn cơ sở uy tín, có tên tuổi sẽ giúp bạn an tâm về chất lượng và giá cả dịch vụ.

    Trình độ y bác sĩ

    Sử dụng dịch vụ lấy cao răng bởi đội ngũ  bác sĩ giỏi, có kinh nghiệm, chuyên môn cao thường sẽ có giá cao hơn. Tuy nhiên, điều này cũng không ảnh hưởng nhiều đến sự chênh lệch về giá cả dịch vụ ở các đơn vị.

    Phương pháp lấy cao răng

    Hiện có rất nhiều phương pháp lấy cao răng được ứng dụng. Với những khách hàng sử dụng cách lấy cao răng truyền thống sẽ có chi phí rẻ hơn so với phương pháp áp dụng công nghệ cao, hiện đại. Như vậy, có rất nhiều yếu tố ảnh hưởng đến chi phí lấy cao răng bạn nên biết. Thế nên, rất khó để đưa ra được mức giá cụ thể nhất. Dựa vào chi phí tìm hiểu qua tại các đơn vị nha khoa uy tín cho hay. Giá lấy cao răng sẽ dao động từ 100.000 đồng trở lên. Và đây cũng chỉ là giá để bạn tham khảo, so sánh mà thôi. Để được biết rõ hơn về vấn đề lấy vôi răng bao nhiêu tiền, bạn nên liên lạc đến các đơn vị nha khoa uy tín.

    Sử dụng dịch vụ lấy cao răng bởi đội ngũ bác sĩ giỏi Sử dụng dịch vụ lấy cao răng bởi đội ngũ bác sĩ giỏi

    Quy trình lấy cao răng tại Nha khoa Asia

    Tại nha khoa Asia, quy trình cạo vôi răng được thực hiện theo các bước sau:

    Lấy cao răng nhanh chóng, không đau đớn Lấy cao răng nhanh chóng, không đau đớn

    Thăm khám răng miệng tổng quát

    Trước khi thực hiện bất kỳ phương pháp chăm sóc, điều trị răng miệng nào, bác sĩ cũng sẽ tiến hành thăm khám tổng quát để biết được tình hình sức khỏe răng miệng của khách hàng. Từ đó tư vấn và báo chi phí cụ thể cho khách hàng. Nếu khách hàng đồng ý, bác sĩ mới tiến hành thực hiện cạo vôi răng.

    Vệ sinh khoang miệng

    Trước khi tiến hành cạo vôi răng, bác sĩ sẽ hướng dẫn khách hàng vệ sinh khoang miệng bằng dung dịch súc miệng chuyên dụng. Nhằm ngăn chặn tình trạng viêm nhiễm và phòng ngừa các biến chứng không mong muốn có thể xảy ra.

    Tiến hành cạo vôi răng

    Bác sĩ sẽ sử dụng công nghệ siêu âm không đau với chuyển động rung của các bước sóng để loại bỏ các mảng vôi răng một cách nhanh chóng, kể cả những mảng bám nằm sâu dưới nướu hay trong các kẽ răng.

    Đánh bóng răng

    Sau khi đã loại bỏ toàn bộ các mảng bám, bác sĩ sẽ tiến hành đánh bóng bề mặt răng bằng loại thuốc chuyên dụng. Nhằm làm cho bề mặt răng được nhẵn mịn và trắng sáng hơn, đồng thời hạn chế sự tích tụ của các vụn thức ăn và vi khuẩn trên răng. Có thể thấy, lấy vôi răng sẽ giúp cho sức khỏe răng miệng của chúng ta được đảm bảo hơn. Tuy nhiên, bạn nên lấy vôi răng định kỳ khoảng 3 - 6 tháng/ lần, tránh lạm dụng để không làm ảnh hưởng đến men răng.

    Cách chăm sóc răng sau khi cạo vôi

    Các chuyên gia tại Nha khoa Asia cho biết, sau khi tiến hành lấy vôi xong, răng và nướu vẫn còn yếu và chưa được ổn định. Vậy nên, nếu không được chăm sóc đúng cách, thì răng rất dễ bị vi khuẩn tấn công và mảng bám nhanh chóng tích tụ trở lại. Dưới đây là một số lưu ý:
    • Sử dụng nước súc miệng chứa fluoride: Súc miệng bằng nước súc miệng có chứa fluoride giúp tăng cường men răng, ngăn chặn sự hình thành của axit và giảm nguy cơ sâu răng.
    • Dùng chỉ nha khoa hoặc tăm nước: Sử dụng chỉ nha khoa hoặc máy tăm nước giúp loại bỏ mảng bám và thức ăn mà bàn chải không thể tiếp cận được. Việc này cũng giúp giảm nguy cơ mắc bệnh nướu và giữ cho khu vực giữa răng sạch sẽ.
    • Chọn bàn chải răng: Chọn bàn chải răng có độ cứng phù hợp để tránh tổn thương men răng và nướu. Bàn chải nên có đầu nhỏ và lông mềm để dễ dàng chải đến những khu vực khó làm sạch ở trong miệng.
    • Đánh răng đúng cách: Ngoài việc sử dụng kem đánh răng và bàn chải xịn thì cách đánh răng cũng là phương pháp giúp bạn hạn chế tình trạng mảng bám quay trở lại.
    • Hạn chế thức ăn và đồ uống có đường: Thức ăn và đồ uống có đường là nguồn dinh dưỡng cho vi khuẩn gây sâu răng. Hạn chế tiêu thụ chúng giúp giảm nguy cơ mắc các vấn đề răng.
    • Thực hiện kiểm tra nướu định kỳ: Tự kiểm tra nướu để phát hiện kịp thời bất kỳ dấu hiệu nào của bệnh nướu như đau, sưng, hay chảy máu. Nếu có vấn đề, hãy thăm bác sĩ nha khoa để được tư vấn và điều trị.
    • Thăm bác sĩ nha khoa định kỳ: Tư vấn và kiểm tra định kỳ là quan trọng để theo dõi sức khỏe răng và nướu.
    Những biện pháp chăm sóc răng sau khi cạo vôi giúp bảo vệ răng, duy trì hơi thở tươi mát và làm tăng sự tự tin trong giao tiếp.

    Những điều cần lưu ý sau khi đi lấy cao răng

    Tránh ăn những đồ ăn quá nóng hoặc quá lạnh bởi vì chính là những thực phẩm này sẽ khiến răng trở nên nhạy cảm hơn, dễ sứt mẻ, gây ra hiện tượng vỡ và tụt lợi. Vì vậy, bạn nên tăng cường ăn các loại đồ ăn như: Ngũ cốc, cam, chuối,... để ngăn ngừa các mảng bám trên răng. Hạn chế sử dụng thực phẩm chứa nhiều đường và tinh bột: Vì các thực phẩm này sẽ bị mắc kẹt lại trên răng giúp tăng cường các mảng bám và tạo cơ hội để vi khuẩn phát triển và gây ra các bệnh lý nguy hiểm về răng miệng.  Không ăn các thực phẩm có tính axit mạnh: Việc hạn chế ăn các thực phẩm có tính axit cao như: Bưởi, cam, chanh,... sẽ giúp cho các mảng bám trên răng hạn chế xuất hiện một cách nhanh chóng sau khi lấy cao răng. Sau khi thực hiện lấy cao răng, răng lúc này đang ở trạng thái rất yếu, dễ bị tổn thương bởi những tác động bên ngoài, vì vậy bạn nên hạn chế những loại trái cây có tính axit có chứa trong các loại quả ấy.

    Hạn chế những loại trái cây có tính axit ngay sau khi lấy cao răng Hạn chế những loại trái cây có tính axit ngay sau khi lấy cao răng

    Thường xuyên vệ sinh răng miệng hằng ngày, vào buổi sáng sau khi thức dậy và buổi tối trước khi đi ngủ. Ngoài ra, bạn nên sử dụng chỉ nha khoa và tăm nước để làm sạch sâu các kẽ răng trong hàm răng của mình.

    Làm thế nào để ngăn ngừa cao răng hình thành?

    Một trong những biện pháp đầu tiên giúp ngăn ngừa vôi răng hình thành đó chính là vệ sinh răng miệng sạch sẽ:
    • Chải răng tối thiểu 2 lần/ ngày bằng bàn chải lông mềm, sử dụng kem đánh răng có chứa Flour để giúp răng chắc khỏe và trắng sáng.
    • Kết hợp sử dụng chỉ nha khoa, máy tăm nước, nước súc miệng để làm sạch từng kẽ răng, hạn chế tối đa việc tích tụ mảng bám.
    Ngoài ra, bạn cũng nên lưu ý chế độ ăn uống hằng ngày:
    • Đồ ăn có màu, cà phê, nước trà hay hút thuốc lá là những thực phẩm mà bạn cần hạn chế. Bởi chúng sẽ làm mảng bám hình thành nhanh chóng.
    • Hạn chế dùng đồ ăn quá mềm, dính như bánh quy, kẹo dẻo, sô cô la,.. vì chúng bám chắc vào răng, khó vệ sinh sạch.
    • Nên ưu tiên những thực phẩm giàu chất xơ như: rau củ, trái cây sẽ giúp cho răng sạch hơn, lợi chắc khỏe hơn.
    • Một trong những cách quan trọng giúp ngăn ngừa vôi răng hình thành, đó chính là bạn hãy khám răng định kỳ 6 tháng/ lần để bác sĩ theo dõi tình trạng sức khỏe răng miệng và lấy vôi răng (nếu có).
    Mức giá lấy cao răng luôn là điều khiến cho nhiều khách hàng phân vân. Tuy nhiên với công nghệ tiên tiến, đội ngũ bác sĩ giàu kinh nghiệm và chất lượng dịch vụ tốt thì mức giá lấy cao răng ở Nha khoa Asia là hoàn toàn hợp lý. Mỗi ngày Nha khoa Asia đã thực hiện số lượng ca lấy cao răng lên tới hàng trăm khách hàng và đều đem đến sự hài lòng với chất lượng dịch vụ tại đây. Nếu muốn tư vấn và biết thêm về các dịch vụ tại Nha khoa Asia, vui lòng liên hệ qua số Hotline: 0938 639 155 - 097 889 7509 để bác sĩ trực tiếp tư vấn và giải thích cụ thể. >>>Tham khảo:
    Đánh giá bình luận
    Bài viết liên quan

    Tư vấn cùng bác sĩ

    Một cuộc hẹn tại Nha Khoa Asia sẽ giải quyết được nhu cầu của Quý khách
    Đặt lịch thăm khám cùng chuyên gia