Kiến thức nha khoa

Cao răng (Vôi răng) là gì? Nguyên nhân và cách phòng ngừa

  • Thứ năm, Ngày 04/07/2024
  • Đánh răng, dùng chỉ nha khoa và súc miệng bằng nước sát trùng là những lời khuyên từ nha sĩ để ngăn ngừa cao răng. Nhưng bạn đã hiểu rõ cao răng là gì chưa? Cao răng hình thành như thế nào và hậu quả của việc cao răng tích tụ quá nhiều là gì? Bài viết này của Nha khoa Asia sẽ giúp bạn khám phá nguyên nhân, quá trình hình thành và các phương pháp loại bỏ cao răng hiệu quả.

    Cao răng khiến cho hàm răng mất thẩm mỹ Cao răng khiến cho hàm răng mất thẩm mỹ

    Cao răng là gì?

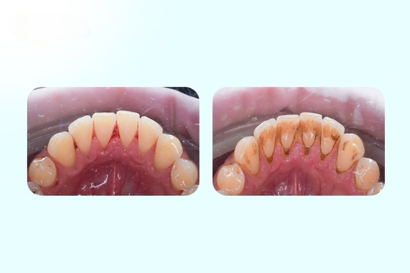
    Cao răng, hay còn gọi là vôi răng, là mảng bám đã bị vôi hóa bởi các khoáng chất trong nước bọt, hình thành dưới và trên đường viền nướu.

    Vi khuẩn luôn tồn tại trong miệng, ngay cả khi đã vệ sinh răng miệng. Chúng kết hợp với protein và thức ăn thừa, tạo thành mảng bám răng. Mảng bám này phủ lên răng và sau một thời gian sẽ cứng lại, trở thành cao răng, không thể loại bỏ bằng cách chải răng thông thường.

    Cao răng chứa nhiều vi khuẩn, làm hỏng men răng và khiến nướu thô ráp, xốp, có thể tụt khỏi răng. Cao răng chỉ có thể được loại bỏ bằng các biện pháp vệ sinh răng miệng chuyên nghiệp. Nếu không được làm sạch, cao răng sẽ gây các bệnh về nướu, bao gồm viêm nha chu nguy hiểm.

    Cao răng (Vôi răng) là gì? Cao răng (Vôi răng) là gì?

    Cao răng tạo thêm diện tích cho mảng bám phát triển, gây ra các bệnh nghiêm trọng như sâu răng và bệnh nướu. Vôi răng không thể tự loại bỏ bằng bàn chải hay bất kỳ dụng cụ nào khác. Việc làm sạch cao răng cần được thực hiện tại phòng khám nha khoa bởi nha sĩ, sử dụng kỹ thuật và máy móc chuyên dụng. Quá trình này gọi là lấy cao răng, thường kết hợp với đánh bóng răng.

    Phân loại Cao răng

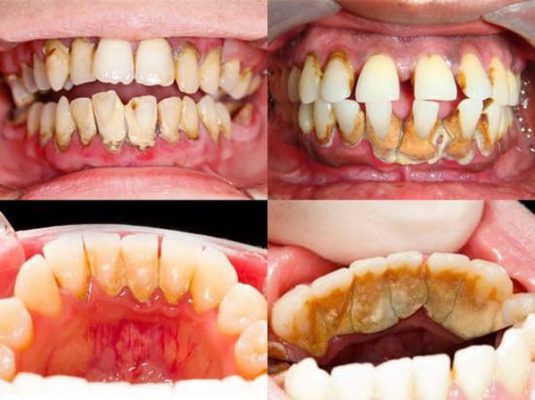
    Cao răng thường

    Cao răng thường xuất hiện ở cổ răng, có màu trắng đục hoặc vàng nhạt. Với người hay hút thuốc lá, cao răng sẽ có màu sẫm hơn. Vôi răng thường gây viêm nướu, nếu không điều trị kịp thời sẽ gây chảy máu chân răng, máu ngấm vào lớp cao răng và chuyển thành cao răng huyết thanh.

    Cao răng huyết thanh

    Cao răng huyết thanh thường nằm ở nướu dưới, có màu đỏ nâu hoặc nâu đen. Cao răng huyết thanh chứa nhiều vi khuẩn hơn so với cao răng thường, gây viêm nướu và tăng tốc độ nhiễm khuẩn chân răng.

    Phân độ cao răng

    Cao răng cấp độ 1

    Cao răng cấp độ 1 là giai đoạn mới hình thành. Mảng cao răng còn mỏng và có màu nhạt, thường thấy một chút ánh trắng nhẹ tại khu vực đường viền nướu. Cao răng cấp độ 1 có thể loại bỏ bằng cách chải răng đều đặn nhưng không thể làm sạch hoàn toàn.

    Cao răng cấp độ 2

    Cao răng cấp độ 2 cứng và dày hơn so với cấp độ 1, nhưng màu sắc vẫn còn khá nhạt. Ở giai đoạn này, cao răng đã bám chặt vào răng và cần sử dụng các dụng cụ cạo vôi răng chuyên dụng mới có thể làm sạch được.

    Cao răng cấp độ 3

    Cao răng cấp độ 3 dễ nhận biết hơn vì đã chuyển sang màu vàng sậm. Chúng thường xuất hiện ở mặt trong của răng, dày và cứng, rất khó loại bỏ. Trong một số trường hợp, cao răng cấp độ 3 có thể xuất hiện ở mặt ngoài răng.

    Cao răng cấp độ 4

    Cao răng cấp độ 4 là mức độ nặng nhất. Lúc này, cao răng đã chuyển sang màu sậm hơn, thậm chí màu đen. Chúng bắt đầu tấn công chân răng, xuống xương hàm và tiềm ẩn nhiều nguy cơ nguy hiểm cho sức khỏe răng miệng.

    Cao răng từ cấp độ 1 đến 4 Cao răng từ cấp độ 1 đến 4

    Qúa trình hình thành cao răng diễn ra như thế nào?

    Mỗi người đều có vi khuẩn sống trong miệng. Khi ăn thực phẩm chứa đường và tinh bột mà không chải răng kỹ, vi khuẩn sẽ tích tụ hình thành mảng bám. Chúng bài tiết axit gây xói mòn men răng và lắng đọng các protein khoáng hóa, từ đó hình thành vôi răng/cao răng.

    Cao răng chủ yếu chứa vi khuẩn chết đã khoáng hóa, trộn với một lượng nhỏ protein khoáng hóa từ nước bọt. Trong vôi răng chứa các khoáng chất như:

    • Canxi photphat
    • Canxi carbonat
    • Magie photphat

    Nếu không được làm sạch, mảng bám sẽ hấp thụ canxi và các chất khác trong thức ăn và nước bọt, cứng dần lên. Theo thời gian, cao răng trở nên sẫm màu, cứng, dày hơn và khó loại bỏ.

    Ở giai đoạn ban đầu, khi mảng bám còn mới, chúng ta có thể loại bỏ chúng bằng cách chải răng thông thường. Tuy nhiên, khi mảng bám tồn tại trong thời gian dài, nó sẽ trải qua quá trình vôi hóa do tác động của các hợp chất muối vô cơ trong nước bọt và các yếu tố khác, khiến mảng bám trở nên cứng và bám chặt vào bề mặt răng hoặc dưới nướu. Khi đó, mảng bám đã tiến triển thành cao răng (vôi răng), và để loại bỏ nó, chúng ta cần đến các phòng khám nha khoa.

    Điều này cho thấy, vệ sinh răng miệng sau mỗi bữa ăn đóng vai trò quyết định trong việc ngăn ngừa vôi răng.

    Qúa trình hình thành cao răng diễn ra như thế nào? Qúa trình hình thành cao răng diễn ra như thế nào?

    Nguyên nhân xuất hiện vôi răng là gì?

    Phần mảng bám trên răng được vôi hóa bởi hợp chất muối calcium phosphate trong nước bọt hình thành nên vôi răng. Thông thường các mảng bám này cần tồn tại trong khoang miệng khoảng 1 tuần để có thể chuyển hóa thành vôi răng. Sau khi ăn thức ăn trên bề mặt răng sẽ xuất hiện một lớp màng mỏng bám ở phía trên. Lớp màng này nếu không được loại bỏ ngay thì vi khuẩn sẽ tích tụ và ngày càng dày lên tạo thành mảng bám.

    Tại thời điểm mảng bám mềm sẽ dễ dàng hơn trong việc loại bỏ với bàn chải/chỉ nha khoa. Tuy nhiên, nếu để lâu sẽ  cứng hơn và bám chắc trên bề mặt răng. Lúc này chỉ có thực hiện phương pháp lấy vôi răng bằng dụng cụ chuyên dụng mới có thể làm sạch.

    Nguyên nhân xuất hiện vôi răng là gì? Nguyên nhân xuất hiện vôi răng là gì?

    Phần lớn vôi răng được hình thành từ thói quen vệ sinh răng miệng không đúng cách của mỗi người.

    • Không có thói quen làm sạch răng miệng thường xuyên. Đặc biệt không đánh răng sau ăn và trước khi ngủ.
    • Không sử dụng chỉ nha khoa tạo điều kiện cho vi khuẩn phát triển trong các kẽ răng.
    • Chế độ ăn có chứa nhiều thực phẩm có đường hóa học như: nước ngọt, bánh kẹo khiến mảng bám hình thành một cách nhanh chóng.
    • Phương pháp đánh răng sai cách không làm sạch được bề mặt của răng. Lúc này các mảng bám còn sót lại lâu ngày hình thành nên cao răng.

    Tác hại của cao răng là gì?

    Cao răng không thể làm sạch hoàn toàn bằng cách chải răng và dùng chỉ nha khoa như bình thường. Cao răng hình thành phía trên viền nướu dễ dẫn đến sâu răng và hôi miệng.

    Theo thời gian, cao răng gây ra các bệnh nướu răng tiến triển, nhẹ nhất là viêm nướu. Vôi răng có thể được ngăn chặn và khắc phục nếu bạn đánh răng, dùng chỉ nha khoa, sử dụng nước súc miệng sát trùng và được nha sĩ làm sạch thường xuyên.

    Nếu không được loại bỏ và vệ sinh đúng cách, cao răng sẽ gây viêm nướu, hình thành các túi giữa nướu và răng do nhiễm vi khuẩn, và tiến triển thành bệnh nha chu. Khi bị bệnh nha chu, hệ thống miễn dịch sẽ phản ứng để chống lại vi khuẩn, khiến tình trạng viêm nướu trở nên tồi tệ hơn. Viêm nha chu có thể làm hỏng xương và các mô giữ răng, dẫn đến mất răng. Bệnh còn tác động tiêu cực đến sức khỏe tim mạch.

    cạo vôi 2 Cạo vôi răng giúp hàm răng của bạn trắng sáng hơn

    Làm sao để biết có cao răng tích tụ hay không?

    Có thể dễ dàng phát hiện sự tích tụ cao răng trên bề mặt răng, vì chúng thường có màu vàng hoặc nâu. Trong quá trình kiểm tra và làm sạch răng định kỳ, chuyên gia nha khoa sẽ phát hiện và loại bỏ cao răng.

    Tại nhà, bạn có thể kiểm tra xem mình có loại bỏ mảng bám răng đúng cách hay không bằng cách sử dụng thuốc làm lộ mảng bám, có thể mua không cần toa bác sĩ tại nhiều hiệu thuốc. Thuốc này sẽ làm hiện rõ những vùng có mảng bám còn sót lại, giúp bạn dễ dàng nhìn thấy và xử lý chúng.

    Làm sao để biết có cao răng tích tụ hay không? Làm sao để biết có cao răng tích tụ hay không?

    Hướng dẫn cách ngăn ngừa cao răng hiệu quả

    Để tránh các vấn đề như sâu răng và bệnh nướu răng, bạn nên ngăn ngừa sự hình thành cao răng từ đầu. Dưới đây là một số cách để giúp ngăn ngừa sự tích tụ cao răng trên răng:

    • Đánh răng 2-3 lần mỗi ngày: Sử dụng bàn chải đánh răng có lông mềm và kem đánh răng có fluorua. Chọn các sản phẩm chăm sóc sức khỏe răng miệng từ các thương hiệu uy tín để đảm bảo hiệu quả và an toàn.
    • Dùng chỉ nha khoa 2 lần mỗi ngày: Sử dụng chỉ nha khoa truyền thống hoặc bàn chải kẽ răng để loại bỏ thức ăn thừa bám vào kẽ răng. Hỏi nha sĩ hoặc chuyên gia về sản phẩm phù hợp.
    • Sử dụng nước súc miệng kháng khuẩn: Súc miệng bằng nước súc miệng không cồn chứa kháng khuẩn 2 lần mỗi ngày để tiêu diệt vi khuẩn gây ra mảng bám và cao răng.
    • Không sử dụng thuốc lá: Người hút thuốc lá có nguy cơ phát triển cao răng cao hơn so với người không hút thuốc.
    • Khám Nha Sĩ thường xuyên: Đi khám và làm sạch răng chuyên nghiệp định kỳ, ít nhất là 2 lần một năm. Nếu cần thiết, bạn có thể cần thăm nha khoa thường xuyên hơn để làm sạch cao răng.
    • Áp dụng chế độ ăn uống khoa học: Chọn một chế độ ăn uống lành mạnh, hạn chế đường và tinh bột, ăn đồ ăn nhẹ, và chải răng sau mỗi bữa ăn. Uống nhiều nước trong và sau khi ăn để giúp loại bỏ các hạt thức ăn dính trên răng.
    • Chọn kem đánh răng kiểm soát cao răng: Chọn kem đánh răng chứa fluorua để giúp sửa chữa hư hỏng men răng. Nhiều sản phẩm làm sạch răng miệng còn có chứa hoạt chất triclosan để chống lại vi khuẩn trong mảng bám.

    Thời hạn lý tưởng lấy vôi răng là gì?

    Cạo vôi là phương pháp loại bỏ mảng bám bẩn ở răng ,nhưng cũng không vì thế mà chúng ta lạm dụng quá,nên định kỳ 3-6 tháng lấy một lần ngoài ra còn phụ thuộc vào sức khỏe của răng và độ bám hình thành nên mảng bám mà bác sĩ có chỉ định riêng biệt:

    • Người có men răng láng bóng vôi răng hình thành ít thì 6 tháng lấy 1 lần
    • Người có men răng sần sùi dễ tích tụ mảng bám, hay uống cafe, hút thuốc lá thì khoảng 3-4 tháng nên lấy 1 lần.

    Thời hạn lý tưởng lấy vôi răng là gì? Thời hạn lý tưởng lấy vôi răng là gì?

    Có nên cạo vôi răng nhiều hay không?

    Trên thực tế, cạo vôi răng là thủ thuật nha khoa giúp lấy sạch những mảng bám bị vôi hóa trên răng và nướu giúp răng miệng trở nên sạch sẽ và ngăn ngừa các bệnh lý nha khoa nghiêm trọng.

    Tuy nhiên, chúng ta không nên lạm dụng việc cạo vôi răng vì điều này sẽ gây tổn thưởng răng của bạn. Hãy cạo vôi răng định kỳ 6 tháng/lần hoặc theo chỉ dẫn của nha sĩ để đạt được hiệu quả tốt nhất.

    Có nên cạo vôi răng nhiều hay không? Có nên cạo vôi răng nhiều hay không?

    Đối với những người có men răng khỏe đẹp, chỉ nên lấy cao răng 6 tháng/lần. Còn những người có men răng tương đối xấu, dễ dàng tích tụ mảng bám hoặc thường xuyên sử dụng thức uống có màu, hút thuốc lá thì nên giảm thời gian xuống, lấy cao răng 3 đến 4 tháng/lần.

    Răng bị đóng vôi: Khi nào cần đến Nha Sĩ?

    Việc cần đến nha sĩ để làm sạch cao răng phụ thuộc vào tốc độ hình thành cao răng của từng người. Một số người có tốc độ tích tụ mảng bám và cao răng nhanh hơn so với những người khác. Thông thường, hầu hết mọi người cần đến làm sạch cao răng khoảng 6 tháng một lần.

    Tuy nhiên, nếu bạn có bất kỳ vấn đề như sâu răng hay bệnh nướu răng, bạn nên đến gặp nha sĩ để được thăm khám và đặt lịch làm sạch cao răng phù hợp. Điều này giúp duy trì sức khỏe răng miệng tốt và ngăn ngừa các biến chứng có thể xảy ra do cao răng.

    Nha khoa Asia – Địa chỉ lấy vôi răng uy tín dịch vụ tốt nhất TPHCM

    Nha khoa Asia tự hào là một trong những địa chỉ nha khoa uy tín được đông đảo khách hàng tin tưởng. Đơn vị được thành lập từ năm 2010 cho đến nay đã có 12 năm cống hiến mang tới chất lượng nụ cười Việt.

    Dịch vụ cạo vôi răng tại Asia được khách hàng đánh giá cao về chất lượng. Quy trình cạo vôi được thực hiện bởi các bác sĩ nha khoa giàu kinh nghiệm kết hợp cùng hệ thống máy móc, trang thiết bị hiện đại. Nhờ vậy đảm bảo được chất lượng cũng như an toàn răng miệng cho các khách hàng.

    Ngoài dịch vụ lấy cao răng, Nha khoa Asia còn triển khai các dịch vụ thẩm mỹ nha khac như: chỉnh nha, tẩy trắng răng, bọc răng sứ, trồng răng Implant,… Tất cả các dịch vụ luôn cam kết thực hiện theo tiêu chuẩn vô trùng. Hệ thống phòng khám an toàn, vệ sinh hạn chế tối đa tình trạng lây nhiễm chéo.

    Nha khoa Asia là địa chỉ lấy cao răng được khách hàng tin tưởng Nha khoa Asia là địa chỉ lấy cao răng được khách hàng tin tưởng

    Mức giá dịch vụ được niêm yết công khai thông báo cụ thể với các đối tượng khách hàng. Tùy theo tình trạng răng cần thực hiện các nha sĩ viên sẽ hỗ trợ giúp khách hàng chọn được phương pháp cải thiện hiệu quả với mức giá phù hợp nhất.

    Đánh giá bình luận
    Bài viết liên quan

    Tư vấn cùng bác sĩ

    Một cuộc hẹn tại Nha Khoa Asia sẽ giải quyết được nhu cầu của Quý khách
    Đặt lịch thăm khám cùng chuyên gia