Kiến thức nha khoa

3 Tác Hại Của Việc Trồng Răng Implant Có Thể Bạn Chưa Biết: Phân Tích Rủi Ro Của Trồng Răng Implant

  • Thứ ba, Ngày 18/11/2025
  • Trồng răng implant là một giải pháp phục hình răng mất hiện đại và hiệu quả, nhưng trước khi quyết định thực hiện, bạn nên tìm hiểu rõ về lợi ích, rủi ro và các biến chứng có thể xảy ra trong quá trình trồng răng. Trong bài viết này, Nha Khoa Asia sẽ giúp bạn hiểu rõ hơn về tác hại của trồng răng Implant, để bạn có sự chuẩn bị kỹ lưỡng và đưa ra lựa chọn an toàn, phù hợp nhất nhé.

    3 tác hại nghiêm trọng của việc trồng răng Implant cần đặc biệt lưu ý

    Tác hại của việc trồng răng implant nghiêm trọng nhất thường liên quan đến các biến chứng y khoa trong và sau phẫu thuật. Dưới đây là 3 tác hại chính ảnh hưởng khi trồng răng implant.

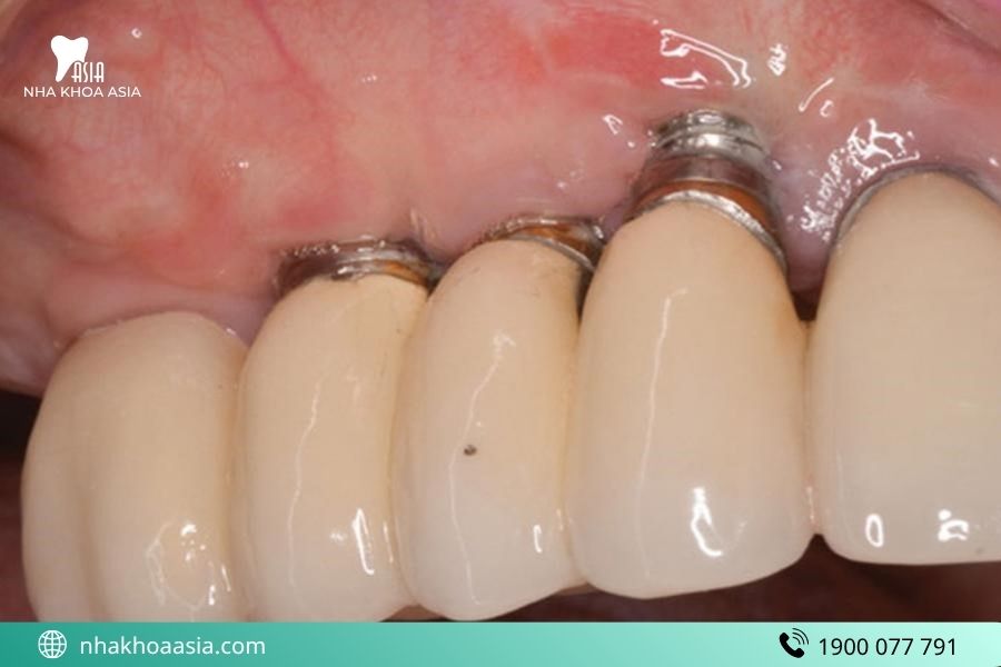
    Tiêu xương quanh trụ Implant

    Nguyên nhân gây tiêu xương quanh trụ Implant:

     

    Nguyên nhân từ kỹ thuật và yếu tố y tế

    Nguyên nhân từ yếu tố sinh hoạt của bệnh nhân

    + Kỹ thuật cấy ghép sai sót: Khi bác sĩ thiếu kinh nghiệm, đặt trụ Implant sai vị trí hoặc chọn sai kích thước có thể khiến trụ không ổn định, làm xương quanh trụ bị tiêu dần theo thời gian.

    + Chất lượng xương hàm ban đầu kém: Nếu xương hàm quá mỏng, yếu hoặc đã bị tiêu trước đó, trụ Implant sẽ không có nền tảng vững chắc để tích hợp, dễ gây tiêu xương sau khi trồng.

    + Viêm nhiễm quanh Implant: Đây là nguyên nhân hàng đầu gây tiêu xương. Vi khuẩn có thể xâm nhập vào vùng cấy ghép do quy trình vô trùng không đảm bảo hoặc do vệ sinh răng miệng sai cách.

    + Chấn thương vùng Implant: Va đập mạnh vào vùng trụ răng có thể làm tổn thương mô mềm và xương xung quanh, khiến trụ mất độ bám chắc.

    + Chăm sóc răng miệng kém: Không vệ sinh đúng cách, chải răng quá mạnh hoặc để mảng bám tích tụ quanh trụ Implant dễ gây viêm quanh trụ, dẫn đến tiêu xương.

    + Thói quen xấu: Hút thuốc lá, uống rượu bia thường xuyên ảnh hưởng đến khả năng lành thương, làm giảm độ ổn định của Implant.

    + Áp lực quá tải lên Implant: Nghiến răng khi ngủ hoặc ăn đồ quá cứng có thể tạo áp lực lớn lên trụ, khiến xương quanh Implant bị tiêu dần.

    + Bỏ qua việc tái khám định kỳ: Không kiểm tra định kỳ khiến bác sĩ không phát hiện kịp thời các dấu hiệu bất thường, dẫn đến biến chứng tiêu xương nghiêm trọng hơn.

    Tỷ lệ biến chứng: Khoảng 8–12% trường hợp gặp tình trạng tiêu xương quanh trụ (theo Journal of Clinical Implant Dentistry 2022)

    Dấu hiệu nhận biết:

    • Nướu quanh trụ bị tụt, thấy lộ phần kim loại Implant.

    • Răng Implant lung lay nhẹ, cảm giác ăn nhai yếu dần.

    • Đôi khi có mùi hôi miệng hoặc đau âm ỉ quanh vùng cấy.

    Tiêu xương quanh trụ Implant


    Khoảng 8–12% trường hợp gặp tình trạng tiêu xương quanh trụ (theo Journal of Clinical Implant Dentistry 2022)

    Mức độ nghiêm trọng: Nếu để lâu, xương sẽ tiêu nhanh khiến trụ Implant mất liên kết với hàm. Lúc này, bác sĩ buộc phải tháo trụ và cấy lại khiến bạn tốn thêm thời gian và chi phí.

    Lưu ý: Ngay khi cảm thấy răng lung lay, đau nhức hơn 3 ngày hoặc vùng nướu có dấu hiệu sưng đỏ.

    Lời khuyên từ Bác sĩ Nguyễn Văn Tưởng (Nha Khoa Asia): "Đây là rủi ro có thể kiểm soát. Cần duy trì vệ sinh răng miệng nghiêm ngặt và khám định kỳ 6 tháng/lần để bác sĩ kiểm tra và lấy cao răng chuyên biệt".

    Tổn thương dây thần kinh và mạch máu

    Nguyên nhân:

    Kỹ thuật và kinh nghiệm bác sĩ: Đây là yếu tố quan trọng nhất, quyết định trực tiếp đến sự thành công của ca cấy ghép.

    • Tay nghề kém: Bác sĩ thiếu kinh nghiệm có thể đặt trụ sai vị trí, quá sâu hoặc sai góc độ, gây chèn ép hoặc tổn thương dây thần kinh và mạch máu.

    • Sai vị trí cấy ghép: Không xác định chính xác vị trí dây thần kinh và mạch máu trong xương hàm trước khi phẫu thuật là nguyên nhân phổ biến gây tổn thương, viêm và tiêu xương.

    Chẩn đoán và lập kế hoạch:

    Thiếu khảo sát trước phẫu thuật: Việc không sử dụng công nghệ chụp phim 3D (CT Cone Beam) để phân tích cấu trúc xương hàm, độ dày xương hoặc vị trí dây thần kinh khiến quá trình cấy ghép tiềm ẩn nhiều rủi ro.

    Chăm sóc sau phẫu thuật:

    • Chăm sóc sai cách: Súc miệng quá mạnh, ăn nhai thực phẩm cứng hoặc không kiêng cữ sau phẫu thuật có thể làm tổn thương vùng cấy ghép, gây chảy máu và ảnh hưởng đến quá trình lành thương.

    • Nhiễm trùng: Vệ sinh răng miệng không đúng cách hoặc không tuân thủ hướng dẫn của bác sĩ là nguyên nhân phổ biến khiến vi khuẩn tấn công, dẫn đến viêm quanh Implant – một trong những tác hại nghiêm trọng của trồng răng Implant.

    Tỷ lệ biến chứng: Khoảng 2–5% ca Implant vùng hàm dưới gặp tình trạng này.

    Tổn thương dây thần kinh và mạch máu sau trồng Implant

     

    Dấu hiệu nhận biết:

    • Tê môi, cằm hoặc lưỡi sau phẫu thuật.

    • Cảm giác châm chích, mất cảm giác tạm thời quanh nửa mặt dưới.

    Mức độ nghiêm trọng: Đa phần là tạm thời, nhưng nếu trụ đặt quá sâu chạm dây thần kinh, có thể gây mất cảm giác lâu dài.

    Lưu ý: Nếu sau 3 ngày mà vẫn còn tê hoặc đau nhức, hãy quay lại nha khoa, bác sĩ uy tín  để kiểm tra vị trí trụ bằng chụp CT 3D.

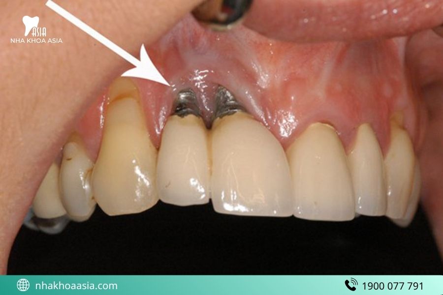
    Tích hợp xương thất bại (trụ Implant bị đào thải)

    Đây là một trong những biến chứng nghiêm trọng nhất khi trồng răng Implant, xảy ra khi xương hàm không thể bám dính và tích hợp với trụ Implant sau phẫu thuật. Nói cách khác, trụ bị cơ thể “từ chối” không thể đứng vững trong xương hàm.

    Các yếu tố gây thất bại tích hợp xương thường gặp là:

    • Bệnh lý toàn thân như tiểu đường, loãng xương.

    • Vệ sinh răng miệng kém sau phẫu thuật.

    • Hút thuốc lá làm giảm lưu lượng máu nuôi dưỡng xương, khiến trụ không “ăn” vào xương được.

     

    Trụ Implant bị đào thải

    Dấu hiệu nhận biết:

    • Đau nhức, sưng đỏ quanh vùng cấy không giảm dù đã qua 1–2 tuần.

    • Nướu không liền thương, có thể rỉ dịch hoặc chảy máu nhẹ.

    • Trong một số trường hợp, trụ Implant rơi ra mà không cần tác động mạnh.

    Lưu ý: Khi xương không tích hợp được, trụ sẽ hoàn toàn mất liên kết với hàm, khiến ca cấy ghép thất bại 100%. Người bệnh buộc phải tháo trụ ra, chờ xương hồi phục trong 3–6 tháng trước khi cấy lại mới.

    Khi nào cần tái khám:

    • Nếu đau, sưng, chảy máu kéo dài trên 3 ngày sau khi trồng răng.

    • Đặc biệt, người mắc tiểu đường, hút thuốc lá hoặc bệnh lý xương khớp nên tái khám đúng lịch để theo dõi khả năng tích hợp xương.

    Nhược điểm của việc trồng răng Implant: Những rủi ro về chi phí và chất lượng

    Hai khía cạnh đầu tiên mà nhiều người xem là tác hại của việc trồng răng implant là vấn đề tài chính và sự kéo dài của quá trình điều trị:

    Nhược điểm

    Vấn đề

    Giải pháp

    Chi phí ban đầu

    Trồng răng implant có giá thành cao hơn các phương pháp khác do yêu cầu công nghệ, vật liệu và tay nghề bác sĩ.

    Chọn nha khoa uy tín, sử dụng trụ Implant có bảo hành lâu dài; xem đây là đầu tư lâu dài vì implant có thể dùng trọn đời.

    Thời gian điều trị kéo dài

    Quá trình cấy ghép và phục hình kéo dài 3–6 tháng, cần thời gian tích hợp xương và tái khám định kỳ

    Tuân thủ hướng dẫn bác sĩ, tái khám đúng lịch, giữ vệ sinh răng miệng tốt để quá trình tích hợp nhanh và ổn định hơn.

    Ảnh hưởng đến ăn uống

    Trong giai đoạn đầu, bệnh nhân phải kiêng thức ăn cứng và thay đổi thói quen ăn uống.

    Ăn đồ mềm, dễ tiêu; sau khi hồi phục có thể ăn uống bình thường và cảm giác nhai tự nhiên hơn răng giả.

    Những đối tượng khi trồng Implant dễ bị đào thải nhất

    Các đối tượng dưới đây cần đặc biệt thận trọng trong nhiều trường hợp, bác sĩ có thể chỉ định tạm hoãn hoặc chống chỉ định hoàn toàn việc trồng răng Implant:

    Người mắc các bệnh lý mãn tính nghiêm trọng:

    • Tiểu đường không kiểm soát tốt: Lượng đường huyết cao làm suy yếu hệ miễn dịch và cản trở quá trình lành thương, khiến xương khó tích hợp với Implant.

    • Loãng xương: Mật độ xương thấp (hoặc những người có khoảng trống quá hẹp giữa các răng) khiến Implant không có điểm tựa vững chắc để tích hợp.

    • Các bệnh tim mạch, HIV, suy giáp, viêm khớp dạng thấp: Những bệnh lý này ảnh hưởng đến khả năng miễn dịch hoặc quá trình hồi phục của cơ thể, làm tăng nguy cơ nhiễm trùng và thải ghép.

    • Bệnh lý về thần kinh hoặc rối loạn miễn dịch: Gây ảnh hưởng tiêu cực đến khả năng phòng vệ và lành thương của cơ thể.

    Người hút thuốc lá: Hút thuốc là nguyên nhân hàng đầu làm chậm quá trình lành thương sau phẫu thuật và làm tăng đáng kể nguy cơ tiêu xương ổ răng xung quanh Implant.

    Người có sức khỏe răng miệng kém:  Người vệ sinh răng miệng kém hoặc người có bệnh nha chu không được điều trị có nguy cơ bị nhiễm trùng (viêm quanh Implant) rất cao, dẫn đến đào thải Implant.

    Bác sĩ khám răng Nha Khoa Asia

    Có nên trồng răng Implant không?

    Câu trả lời là , nếu bạn bị mất răng vĩnh viễn, xương hàm vẫn còn chắc khỏe và mong muốn phục hồi khả năng ăn nhai như răng thật. Trồng răng Implant không chỉ giúp cố định răng vững chắc mà còn ngăn ngừa tiêu xương, hạn chế tình trạng hóp má, biến dạng khuôn mặt. Tuy nhiên, không phải ai cũng nên trồng Implant. Với những người mắc bệnh tiểu đường không kiểm soát, tim mạch nặng, hoặc xương hàm tiêu quá nhiều, việc cấy Implant có thể gây ra nhiều tác hại khi trồng răng như viêm nhiễm, đào thải trụ hoặc đau nhức kéo dài. Vì vậy, trước khi quyết định, bạn nên đến phòng khám nha khoa uy tín để được chụp phim, kiểm tra và đánh giá tình trạng xương nhằm đảm bảo an toàn tối đa khi thực hiện.

    Tại Nha Khoa Asia, khách hàng sẽ được thăm khám miễn phí, kiểm tra xương hàm bằng công nghệ chụp CT Cone Beam 3D hiện đại và lên phác đồ điều trị riêng biệt. Nhờ đó, bạn có thể yên tâm trồng răng Implant an toàn, không lo biến chứng và duy trì hiệu quả theo thời gian. Hãy đăng ký tư vấn chuyên sâu với Nha Khoa Asia ngay hôm nay để được đánh giá tình trạng sức khỏe chính xác và nhận phác đồ điều trị an toàn nhất!

     

    Đánh giá bình luận
    Bài viết liên quan

    Tư vấn cùng bác sĩ

    Một cuộc hẹn tại Nha Khoa Asia sẽ giải quyết được nhu cầu của Quý khách
    Đặt lịch thăm khám cùng chuyên gia